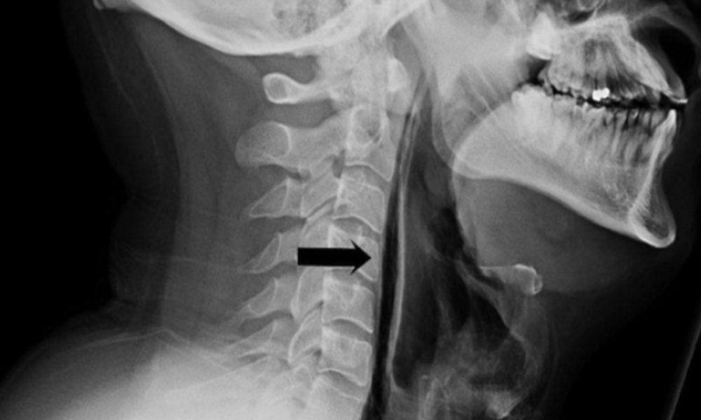
Карелияда чүчкүрбөөгө аракет кылган киши кекиртегин айрып алды.
Басылмалардын маалыматына караганда, 34 жаштагы киши катуу чүчкүргөндөн кийин ооруканага түшкөн. Ал чүчкүргөнү жатканда манжалары менен мурдун кармап турган. Кийин мойну шишип кеткен. Ал рентгенге түшүп, кекиртеги айрылып кеткенин билген.









