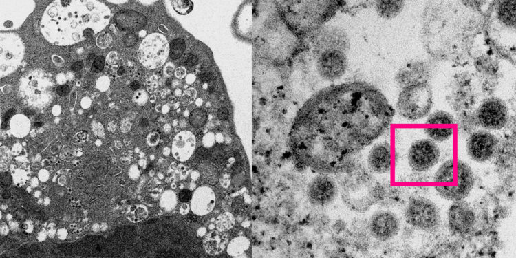
Биз каалайбызбы, каалабайбызбы Кыргызстанга коронавирустун омикрон штаммы келет. Бул тууралуу саламаттыкты сактоо министри Алымкадыр Бейшеналиев журналисттер менен болгон жолугушууда билдирди.
Анын айтымында, ал пайда болбош үчүн өлкөнү толугу менен изоляциялоо, тышкы дүйнө менен байланыш болбошу керек. «Кандайдыр бир жол менен омикрон баары бир келет. Бирок Саламаттыкты сактоо министрлиги буга даяр. Министр катары мен сизге айтайын, дельтаны (Индиядан келген коронавирустун штаммы) кантип өтсөк, омикрондон да өтөбүз. Өлкөбүздө 2023-жылга чейин COVID-19га каршы вакцина жетиштүү болот”, — деди ал.






