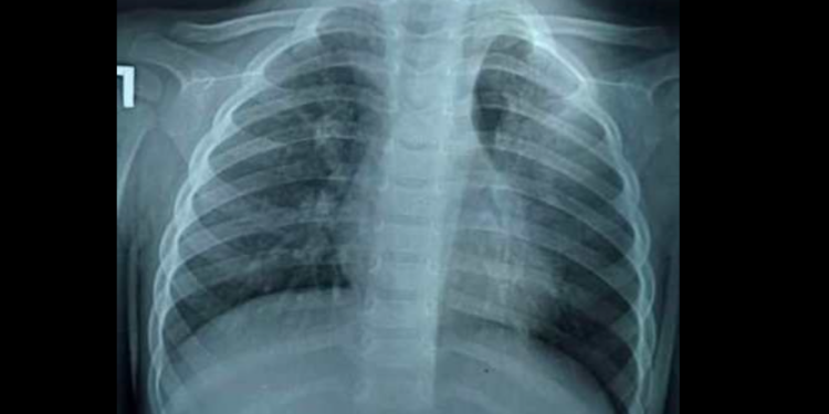
Бишкекте 1 жаш 10 айлык баланын өпкөсүнөн жүгөрүнүн даны табылганын балдар хирургу Калыбек Мыкиев социалдык тармактагы баракчасында билдирди.
«Ата-энелердин эсине! Өзгөчө кичине балдары барларга! 3 айдан бери ар кайсы жакта дарыланышкан, көп антибиотик алышкан, акырында бүгүн 14-июлда бронхоскопия жасап сол бронхтон жүгөрү алып чыктык. Толтура ириң кан. Дагы жасалышы мүмкүн. Дагы 3-4 ай жүргөндө сол өпкө жарабай калмак. Балдарга көз салгыла, ата-энелер»,— деп жазды ал.











